Ai cũng mong muốn có một nụ cười rạng rỡ và xinh tươi. Thế nhưng, không phải ai cũng có thể tự tin với nụ cười của mình, chỉ vì khiếm khuyết răng bị hô. Chỉnh sửa những khiếm khuyết này chính là chìa khóa mang lại vẻ đẹp hoàn hảo cho bạn. Vì vậy niềng răng là giải pháp để khắc phục hiện tượng răng hô thiếu thẩm mỹ hiệu quả nhất. Vậy chi phí niềng răng hô hàm trên như thế nào?
Niềng răng hô hàm trên là gì ?
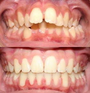
Hiện tượng hô hàm trên đó là tình trạng mà xương hàm trên bị chìa ra phía trước quá mức so với bình thường nên khi các bạn ngậm miệng lại thì vô tình đã khiến cho xương răng hàm trên sẽ bao phủ bên ngoài xương răng hàm dưới, điều này khiến cho khớp cắn không trùng khít, mất cân đối và lúc này thì môi không bao phủ răng.
Việc hàm răng bị hô khiến cho nhiều người lo lắng và buồn bã. Vì nó sẽ khiến cho gương mặt của mọi người bị biến dạng xấu đi, gây mất thẩm mỹ. Không những thế, việc hàm răng bị hô còn khiến cho việc ăn uống cũng như sinh hoạt hằng ngày gặp rất nhiều khó khăn và bất tiện.
Dựa theo độ tuổi, tình trạng sức khỏe của từng người cũng như mức độ hô của xương hàm mà bác sĩ sẽ đưa ra phác đồ điều trị khác nhau đối với mỗi người. Với một số trường hợp răng lệch lạc quá nhiều thì bác sĩ sẽ kết hợp nhổ răng số 4 để chỉnh nha hiệu quả hơn. Thông thường khách hàng ở tuổi dưới 16 tuổi thì bác sĩ thường khuyến cáo nhổ răng vì xương hàm còn đang phát triển nên dễ nắn chỉnh hơn.
Niềng răng hô hàm trên đơn giản hơn so với niềng răng cường hở lợi hay móm… nên thời gian bình phục cũng nhanh hơn. Hơn nữa, bệnh nhân phải có chế độ chăm sóc sau khi gắn mắc cài cẩn thận và chu đáo thì sẽ giúp cho tốc độ di chuyển mắc cài ổn định hơn, từ đó tính hiệu quả sẽ cao hơn. Nhưng chi phí niềng răng hô hàm trên như thế nào? giá cả có được hợp lý không?
Chi phí niềng răng hô hàm trên như thế nào?
Niềng răng mắc cài inox giá bao nhiêu? hay niềng răng mặt trong giá bao nhiêu?....là những câu hỏi về giá mà nhiều người quan tâm khi lựa chọn niềng răng để điều trị khiếm khuyết răng hô của mình. Sau đây là bảng giá cho bạn tham khảo thêm:
Chụp Phim Toàn Cảnh Panorex – Sọ Nghiêng Cephalo (Niềng răng chỉnh nha) 100.000đ/ phim (MIỄN PHÍ cho BN chỉnh nha tại Đăng Lưu)
– Niềng răng mắc cài Inox đơn giản 18.000.000 – 20.000.000đ
– Niềng răng mắc cài Inox từ trung bình đến phức tạp 28.000.000 – 30.000.000đ
– Niềng răng mắc cài tự đóng (inox) đơn giản 28.000.000 – 30.000.000đ
– Niềng răng mắc cài tự đóng (Inox) từ trung bình đến phức tạp 36.000.000 – 38.000.000đ
– Niềng răng mắc cài sứ đơn giản 32.000.000 – 34.000.000đ
– Niềng răng mắc cài sứ từ trung bình đến phức tạp 36.000.000 – 38.000.000đ
– Niềng răng mắc cài tự đóng (Sứ Trắng) đơn giản 40.000.000 – 42.000.000đ
– Niềng răng mắc cài tự đóng (Sứ Trắng) từ trung bình đến phức tạp 46.000.000đ – 48.000.000đ
– Niềng răng mặt trong đơn giản 80.000.000 – 100.000.000đ
– Niềng răng mặt trong từ trung bình đến phức tạp 120.000.000 -140.000.000đ
– Niềng răng không mắc cài 3D Clear 16.000.000đ – 72.000.000đ
Nếu còn thắc mắc nào liên quan đến vấn đề chi phí niềng răng hô hàm trên bao nhiêu hãy đến với chúng tôi Nha Khoa Đăng Lưu trung tâm nha khoa uy tín hiện nay để được tư vấn trực tiếp và thăm khám miễn phí.
Vui lòng liên hệ nha khoa Đăng lưu để biết thêm chi tiết
Hệ thống nha khoa Đăng Lưu
Cơ sở 1 : 34 Phan Đăng Lưu, P.6, Q.Bình Thạnh, TP.Hồ Chí Minh
Điện thoại Cs 1 : (+84 8) 3803 0578 – (+84 8) 6297 7148 – Email: drtien@nhakhoadangluu.com.vn
Cơ sở 2 : 536 – 540 Trần Hưng Đạo, Phường 2, Q.5, TP.Hồ Chí Minh
( Ngay ngã tư Trần Hưng Đạo – Trần Bình Trọng )
Điện thoại Cs 2 : (+84 8) 6682 0246 – (+84 8) 3924 5604 – Email: drtien@nhakhoadangluu.com.vn
Cơ sở 3 (Phòng Khám Răng Hàm Mặt) : 1256 – 1258 Võ Văn Kiệt – phường 10 – Quận 5 – Hồ Chí Minh – Việt Nam
( Gần cầu Chà Và )
Điện thoại Cs 3 : (+84 8) 3856 7479 – 1900 7103 – Email: drtien@nhakhoadangluu.com.vn
Vui lòng liên hệ nha khoa Đăng lưu để biết thêm chi tiết
Hệ thống nha khoa Đăng Lưu
Cơ sở 1 : 34 Phan Đăng Lưu, P.6, Q.Bình Thạnh, TP.Hồ Chí Minh
Điện thoại Cs 1 : (+84 8) 3803 0578 – (+84 8) 6297 7148 – Email: drtien@nhakhoadangluu.com.vn
Cơ sở 2 : 536 – 540 Trần Hưng Đạo, Phường 2, Q.5, TP.Hồ Chí Minh
( Ngay ngã tư Trần Hưng Đạo – Trần Bình Trọng )
Điện thoại Cs 2 : (+84 8) 6682 0246 – (+84 8) 3924 5604 – Email: drtien@nhakhoadangluu.com.vn
Cơ sở 3 (Phòng Khám Răng Hàm Mặt) : 1256 – 1258 Võ Văn Kiệt – phường 10 – Quận 5 – Hồ Chí Minh – Việt Nam
( Gần cầu Chà Và )
Điện thoại Cs 3 : (+84 8) 3856 7479 – 1900 7103 – Email: drtien@nhakhoadangluu.com.vn

